Clinic Hours:
Mon to Fri 10:00am to 7:00pm
Saturday 9:00pm to 6:00pm

Contact Information:
Mobile no (+63918) 575-2263
(+63922) 893-7893
Tel no (632) 722-6238 or 744-5558

Address/Location Map
Unit 302 Continental Court
# 47 Annapolis Street Greenhills
San Juan, M.M. Philippines

HOME - About Us - Dental - Orthodontics - Lab

Just a peak at the latest orthodontic treatments available...

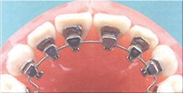
Metal Passive Ligation

  • Requires less teeth extraction
  • Makes for faster treatment
  • More comfortable to maintain
  • Self adjusting brackets
  • Longer appointment intervals (less checkups)

Ceramic Passive Ligation

  • Faster treatment compared to other ceramic brackets
  • Most aesthetic ceramic brackets
  • More comfortable than other ceramic brackets
  • Self adjusting brackets
  • Longer appointment intervals (less checkups)

Lingual (Invisible)

  • The only invisible brackets
  • The most aesthetic brackets
  • Available in the Philippines only at Westwood

Invisalign - Custom-molded to fit you,These are virtually invisible aligners that gradually reposition your teeth.

  • Remove your aligners to eat, brush and floss
  • Change aligners every two weeks
  • Results often in 6 to 12 months